14000 din za bezmetalnu cirkon i privremenu PMMA krunu u MAKS DENTU u Zemunu!

22000 DIN

Ponuda obuhvata:

  • bezmetalnu cirkon i privremenu PMMA krunu
  • pacijenti moraju doneti ortopan snimak
  • prvi pregled je besplatan
  • u cenu su uključene i privremene krune

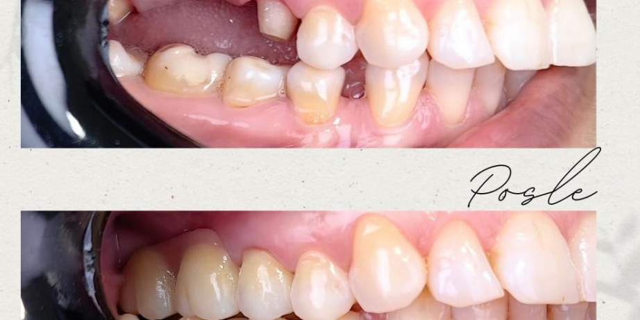
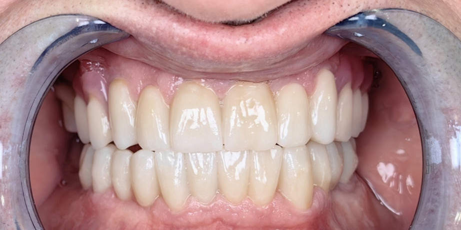
Stomatološka ordinacija Maks-Dent se nalazi u mirnom kraju Zemuna na Galenici na adresi Svetozara Papića 3B. Bezmetalne cirkon krune predstavljaju najbolje esteteko i funkcionalno rešenje za Vaš zub, naročito ako on ima veliki ispun i preti mu opasnost od frakture. Ove krune nemaju metal kao osnovu i mogu mnogo lakše imitirati boju prirodnog zuba i veličinu prirodnog zuba. U cenu su uključene i privremene krune, koje mogu biti od velike koristi naročito ako se rade krune u estetskoj regiji, čime mi planirano oblik i boju definitivnog rada i time smanjujemo mogućnost Vašeg nezadovoljstva. Slike se autentične, nasatale u našoj ordinaciji. Sve intervencije se izvode potpuno digitalno uz pomoć intraoralnog skenera i bez koršćenja otisnih masa.  Garancija na naše krune iznosi 5 godina.

Pitanja

Trenutno nema pitanja, možete da ostavite komentar.

Gde iskoristiti vaučer?

MAKS-DENT

Svetozara Papića 3b, Zemun

Vaučer važi

do 14.3.2026.

Napomene

  • Vaučer obuhvata: bezmetalnu cirkon i privremenu PMMA krunu u MAKS DENTU u Zemunu!
  • Obavezno je zakazivanje!
  • Kontakt: 061 272 6118
  • Na zakazani termin je neophodno doneti vaučer!
  • Pacijent mora doneti ortopan snimak!
  • Prvi pregled je besplatan!
  • U cenu su uključene i privremene krune!
  • Radno vreme: ponedeljak - petak od 09-13h i od 16-20h, subota 09-13h
  • Ukoliko ste sprečeni da dođete blagovremeno obavestite ordinaciju inače će se vaučer smatrati iskorišćenim!

Slične ponude